インプラント
implant
当院では、インプラント治療を安全に行うため、最新の技術と設備を整えています。
インプラントは、失った歯を人工の歯根で補い、自然な見た目と機能を回復する治療法です。患者様一人ひとりの状態に合わせて、最適な治療計画を立て、治療を進めていきます。
インプラント治療の特徴は、噛み心地や見た目が自然であることです。
人工の歯根を顎の骨に埋め込むため、噛む力が他の歯とほぼ同じように伝わります。
また、見た目も自然な歯に近いため、周囲の歯に馴染み、笑顔に自信を持つことができます。当院では、手術から治癒までの期間を短縮し、患者様が早期に快適な生活を送れるよう配慮しています。
治療後のケアや定期的な検診も大切にしており、治療が終了した後も安心してお使いいただけるようサポートさせていただきます。
インプラントの最大のメリットは、自分の歯のような自然な噛み心地と使い心地です。しっかりと骨に固定されているため、会話や食事の際にもズレや違和感がなく、日常のケアは通常の歯磨きで十分なのも魅力です。
一方で、入れ歯は装着時の違和感を感じやすく、とくに保険適用のレジン床タイプは厚みがあるため、食べ物の温度や質感が伝わりにくいというデメリットがあります。また、外して洗浄するなどの専用ケアが必要です。
ブリッジは比較的安定感があり、噛みやすい治療法ですが、両隣の健康な歯を大きく削る必要があるため、将来的にその歯の寿命を縮めるリスクがあります。また、人工歯の下に汚れがたまりやすく、清掃も手間がかかります。
インプラントは周囲の歯を傷つけず、長く快適に使える選択肢として注目されています。
通常、インプラント治療にはおよそ4か月程度の治療期間が必要とされていますが、当院では多くの患者さまがおよそ2か月で治療を終えられています。
その理由は、骨との結合性を高める特殊加工が施されたインプラント体を採用しているためです。治療期間が短くなることで、患者さまの身体的・精神的なご負担も軽減されます。
当院では、できる限り早く、そして安心してお食事を楽しんでいただけるよう、効率的かつ安全性を重視した治療を提供しています。

当院では、インプラント治療の期間だけでなく、費用面でのご負担もできる限り軽減できるよう努めています。その一環として、コストを抑えやすいワンピースタイプのインプラントを中心に採用しています。このタイプは、骨に埋め込む部分と人工歯をつなぐ部分が一体化しており、治療工程がシンプルなため、期間の短縮だけでなく費用の面でもメリットがあります。
また、使用するのは品質と実績に優れた国産インプラントのみを厳選。1本あたり22万円(税込)からのわかりやすく良心的な価格で、初めての方にも安心してご相談いただけます。

「骨が足りない」と他の歯科医院でインプラント治療を断られた方も、当院では治療が可能なケースが多くあります。当院では骨の厚みが足りない場合にも対応できる“ソケットリフト”などの骨造成技術を取り入れており、治療の選択肢を広げています。
また、インプラント治療歴20年以上の歯科医師が、セカンドオピニオンにも対応。過去の診断に不安がある方や、他院では難しいとされた方も、一度当院にご相談ください。日本人の顎骨に適した太さ・長さのインプラントを選定し、一人ひとりに合った治療プランをご提案します。専門的な視点と豊富な経験に基づく判断で、安心して治療を受けていただけます。

インプラントは長く使うものだからこそ、治療後のサポート体制も重要です。当院では、「人工歯が欠けた」「インプラントが緩んだ・脱落した」などの万が一のトラブルにも対応できるよう、治療後5年間の無料保証制度を設けています。
正確にはインプラント体部の脱落に関しては5年間無料保証でのオペを行いますが、ウワモノの冠に関しては1年保証です。
5年間の間に脱落したらインプラントとオペは無料保証ですが、1年過ぎていたら冠は有償となります。
万全の治療体制を整えたうえで、術後も安心して過ごしていただけるよう責任をもってサポートいたします。気になることがあれば、いつでもお気軽にご相談ください。

当院では、日本人の骨格や生活スタイルに適した、国産メーカー「アドバンス社」のインプラントを採用しています。高い骨結合性を誇るHAコーティングタイプを中心に、耐久性と経済性を兼ね備えたワンピースインプラントを使用し、より安心・安全な治療を提供しています。
当院で使用しているインプラントには、ハイドロキシアパタイト(HA)という骨との親和性が高い素材がコーティングされています。このHAコーティングにより、顎の骨とインプラントが短期間で強固に結合しやすくなります。
従来のチタン素材のみのインプラントに比べて、治癒期間が早まりやすいのが大きな特徴で、治療完了までの期間も短縮される傾向にあります。これにより、患者さまの通院回数や身体的負担も軽減され、よりスムーズに日常生活へ復帰していただけます。

海外製のインプラントの多くは、欧米人の骨格に合わせて設計されており、太さ4mm以上・長さ8mm以上のサイズが一般的です。そのため、日本人のように顎の骨が薄い方にとっては、適合しづらいケースも少なくありません。
当院で採用しているアドバンス社のインプラントは国産メーカーであり、太さ3mm〜・長さ6mm〜といった日本人に合わせたコンパクトなサイズ展開が特徴です。これにより、骨の厚みが不足していた方や他院で断られた方でも、インプラント治療の選択肢が広がります。
「骨が薄いから無理かも」とお悩みの方も、ぜひ一度ご相談ください。

当院で採用しているワンピースタイプのインプラントは、部品が一体化しているシンプルな構造のため、ツーピースタイプに比べて破損リスクが低く、非常に高い耐久性を誇ります。構造が頑丈なことから、噛む力が強い方や硬いものをよく食べる方でも、安心して長く使用していただけます。
また、部品が少なく治療工程も比較的シンプルなため、コストを抑えた価格設定が可能なのも魅力です。耐久性と経済性の両面から、初めてインプラントを検討される方にもおすすめの治療法です。

安心・安全なインプラント治療のためにパノラマ撮影・CT撮影に加え、3Dプリンターによる顎模型の作製を行っています。これにより、顎の骨の厚みや形状、神経や血管の位置を事前に正確に把握し、リスクを極力排除した手術計画が可能です。見えない部分まで“見える化”することで、術中のトラブルを防ぎ、より高精度で確実な治療を実現しています。初めての方でも安心して手術に臨んでいただけます。

インプラントに使用されるチタンは、人体との親和性が高く、一般的に安全性の高い素材とされていますが、ごくまれに金属アレルギーを起こすケースも報告されています。そのため、金属アレルギーの可能性がある方には、事前に皮膚科でのパッチテストをお願いする場合があります。
また、糖尿病や高血圧、喫煙習慣のある方は、術後の治癒が遅れたり感染のリスクが高くなることがあるため、初診時の問診で既往歴や体調を詳しく伺っています。治療前にはリスクや治療の流れについて丁寧にご説明し、ご本人が納得された上でのみ治療を行いますので、ご不安な点があれば遠慮なくご相談ください。

患者さまのご負担を減らすために治療全体の流れはスムーズに進めることを心がけていますが、インプラントの埋入手術そのものは安全性を最優先に、細部まで慎重に行っています。
とくにインプラントを埋め込む際には、骨へのダメージを最小限に抑えるためにドリルの回転数を調整しながら、熱を持たせないよう注意深く処置を行います。一人ひとりの骨の状態に合わせて術式を選び、“早く・正確に・安全に”を徹底した手術を提供しています。

治療を始める前に、まず無料カウンセリングを受けていただきます。
お口の中の状態や治療についてのご不安やご質問をお聞きし、インプラント治療が適しているかどうかを患者様と一緒に確認します。

カウンセリング後、次に精密な検査を行います。パノラマ撮影やCT撮影を使って、顎の骨の状態を確認します。また、必要に応じて、歯周病がないかの確認や噛み合わせの状態もチェックします。

検査結果をもとに、患者様に最適な治療計画を立てます。
インプラントを埋める場所や手術の進め方、治療期間について、詳しくご説明いたします。また、治療にかかる費用についてもお伝えし、納得いただける形で進めていきますのでご不明な点や不安をお気軽にご相談ください。

治療計画に基づき、インプラントの手術を行います。
手術は局所麻酔を使って行うため、痛みはあまり感じません。
インプラントを顎の骨に埋め込む際には、埋め込む位置からずれないように慎重に進めます。

インプラントを顎の骨に埋め込む際には、埋め込む位置からずれないように慎重に進めます。
インプラントが骨と安定した後、上部構造(人工歯)の形成を行っていきます。
人工歯は、患者様の歯に合わせて作成し、見た目と噛み心地が自然に感じられるよう調整します。

人工歯(上部構造)が完成したら、インプラントに取り付けます。
装着後は、噛み心地や調整が必要な場合があるため、患者様と一緒に最適な状態に仕上げていきます。

インプラント治療が終了した後は、定期的なメンテナンスを行っていきます。
治療後の経過を確認し、インプラント周辺のクリーニングや、歯周病の予防をしっかりと行うことで、インプラントを長く健康に保つことができます。
メンテナンスを受けることで、万が一トラブルが発生した際も早めに対応できるため、定期的にご来院いただくことをお勧めします。







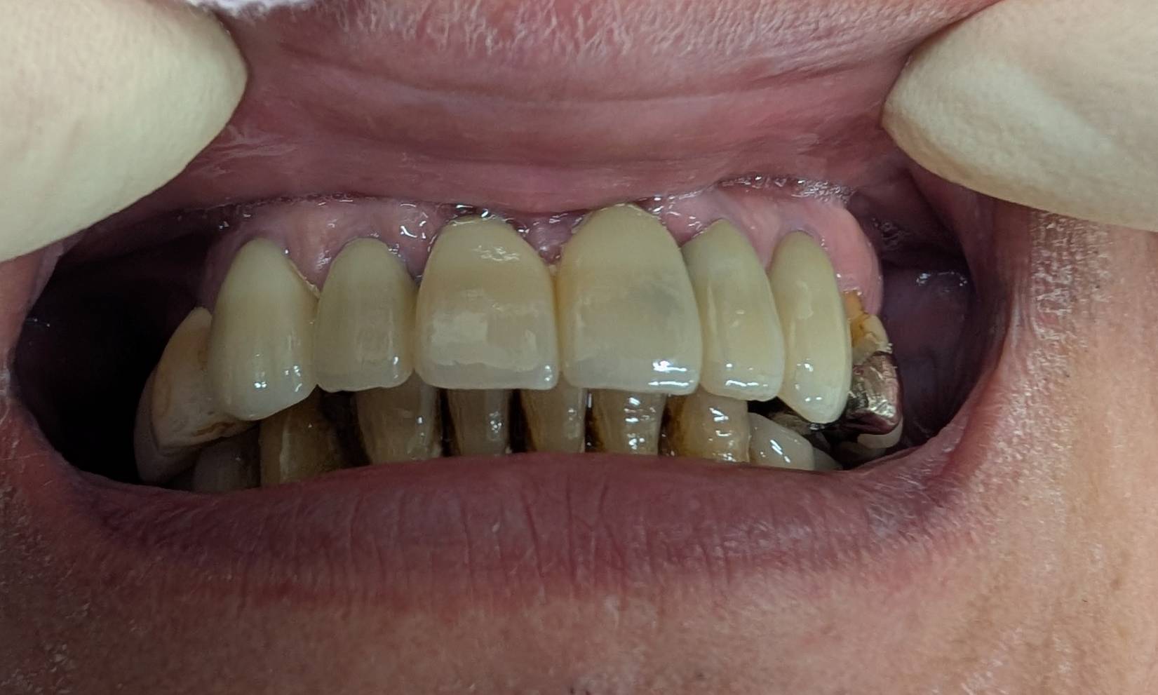
治療名称
ジルコニア前歯6本完成セット治療費用
検査(パノラマX線撮影 CT撮影、スタディーモデルの作製)33000円(税込)治療期間
約2ヶ月後骨植の良さを確認し形成、印象〜ジルコニア前歯6本をセット。約2ヶ月半
治療内容
上顎前歯6本欠損していたため、浸麻下においてワンピースインプラント6本の埋入オペ、当日前歯なので仮歯6本を作製仮着インプラント治療は、見た目や噛みごこちの自然さに優れる一方で、治療後のケアがとても重要です。インプラントの脱落やインプラント周囲炎(インプラントの歯周病)といったトラブルを防ぐためには、毎日の正しいブラッシングで清潔な口腔環境を保つことが欠かせません。
また、歯科医院での定期的なメンテナンスも、インプラントを長く使っていただくために大切です。
さらに、インプラント治療はすべての方に適応できるわけではありません。全身の健康状態や生活習慣、顎の骨の状態によっては、治療を慎重に検討する必要があります。以下のような項目に該当する場合は、当院にて医師が十分にリスクを説明したうえで、治療の可否を判断させていただきます。
糖尿病のある方や、喫煙の習慣がある方は、体の免疫力や治癒力が低下していることが多く、インプラント手術においても注意が必要です。とくに糖尿病がコントロールされていない場合、術後の感染リスクや骨との結合の遅れが起こる可能性があります。
また、喫煙は血流を悪化させ、インプラントの脱落やインプラント周囲炎(インプラントの歯周病)を引き起こすリスクが高いとされています。そのため、当院ではこうしたリスクを丁寧にご説明し、必要に応じて主治医との連携や禁煙のご相談などを行ったうえで、治療の可否を慎重に判断しています。

高血圧や狭心症、心筋梗塞などの治療で血液をさらさらにする薬(抗血栓薬・抗凝固薬)を服用されている方は、インプラント手術において出血リスクが高まる可能性があります。特に外科的処置を伴うため、服薬状況を正確に把握したうえで慎重な対応が必要です。
当院では、処方医との連携のもとで、服薬の継続や中止の判断、手術タイミングの調整を行い、安全に治療を進められるよう最大限配慮しています。お薬を飲まれている方も、必ず事前にご申告ください。

インプラントで長年歯のなかった部分を補うと、最初は違和感を覚えることがあります。特に、噛み合わせの感覚に敏感な方や繊細な感覚をお持ちの方は、微細な接触や噛み合わせの変化を気にされやすい傾向があります。
ごくまれに、それがストレスに感じられる方もいらっしゃいますが、丁寧な調整や経過観察により徐々に慣れていくことがほとんどです。不安な点があれば、いつでもお気軽にご相談ください。

インプラント手術は局所麻酔を使用して行いますので、手術中に痛みを感じることはあまりありません。
手術後は、多少の腫れや痛みを感じることはありますが、数日以内に治まることが多いです。
痛みが強く感じる場合は、早めに当院へご相談ください。

手術後は、激しい運動や重い物を持つことは避けてください。手術が終わって1週間程度は、無理をせず安静にすることをおすすめします。
食事に関しては、数日は柔らかいものを食べることをお勧めします。
2〜3週間後には、普段の食事に戻しても大丈夫ですが、硬い物や噛みごたえのあるものはなるべく控えましょう。

インプラント治療は、顎の骨が成長した成人の方であれば多くの方が受けることができます。18歳以上の方が対象となりますが、骨の状態や健康状態によっては、それ以前でも治療が可能な場合もあります。
一方で、高齢者の方でもお口の中が健康であればインプラント治療を行うことができます。治療が適しているかどうかは、カウンセリングでしっかりと判断いたします。

虫歯や歯周病があっても、治療可能な場合がありますが、インプラント治療を行う前に治療を行います。
歯周病が進行している場合、インプラントがうまく定着しないことがあるため、歯周病の治療を先に行い、その後インプラント治療を行います。虫歯についても同じで、先に治療を行ってからインプラントを進めますので、安心してご相談ください。

インプラント手術は、1本のインプラントの場合、約1時間かかりますが目安となっています。
症例によっては、複数本のインプラントを同時に行う場合や、骨造成が必要な場合などで時間が長くなることがあります。
手術後は安静にしていただくことをお勧めしますが、その日のうちに帰宅可能です。

「骨が足りない」「年齢的に難しい」といった理由で、他の歯科医院でインプラント治療を断られてしまった方も、あきらめずに一度当院へご相談ください。
当院では、骨の厚みが足りない方にも対応できる骨造成技術(ソケットリフトなど)を導入しており、これまでにも多くの患者さまに治療の選択肢をご提供してきました。治療を担当するのは、インプラント治療歴20年以上の経験豊富な歯科医師。豊富な知識と実績に基づいて、患者さま一人ひとりに合った治療計画をご提案いたします。
現在の状態を正しく把握するだけでも大きな一歩です。まずは無料相談で、お口の中の状態を確認してみませんか?